

昨年度
実績
31万人
国内/
海外
26院
※2026年 7医院開院予定
昨年度
実績
5.4万人



【テレビCM放映中】
当院は「厚生労働省」より歯科外来診療環境体制(外来環)の認定を受けています。
急な歯の悩み「即日対応」します

INFORMATION
(一部医院は19時まで)
治療費が高いと感じている方


高品質な治療と低価格化を実現
他の歯医者が合わなかった方


相性の良い歯科医を指名できます

可能な限り、痛みを抑えた、削る量が少ない、歯の神経を守る治療
ひとつの医院ですべての治療を完結
医療法人社団ALBA 理事長米国インディアナ大学歯学部 JIPインプラント客員教授


コンビニより多い歯科医院で 創業11年15院を無借金経営 できる理由
(2022/12/5 発行)

CLINIC DIRECTOR


皆さんおっしゃいます。
「こんな歯医者に早く出会いたかった」と。
当グループの先端設備や患者さま本位の治療をご紹介。
インプラント、マウスピース矯正、小児矯正の歯医者なら「ALBA歯科&矯正歯科」。ALBA歯科グループが患者さんに選ばれる理由をご紹介します。「痛みが苦手」な方や「歯科恐怖症」の方でも安心して受診いただけるよう二段階麻酔と無痛治療を実施。「不信感・不快感」で歯医者へ通えなくなった方も納得されるまで丁寧な治療の説明をおこない、不要な治療は一切おこないません。また可能な限りけ「来院回数/治療期間」を少なくしたい方に最適な短期集中治療を、精密機器・再生療法を駆使しておこないます。またグループ内に専門の技工所を所有し複数の歯科技工士が在籍しています。今すぐ治療してほしい方・費用が心配の方でも大丈夫。当グループは高価な材料を大量調達し、高い治療精度を保ちながら低価格化を実現。東京・神奈川・海外を中心に26医院を展開。海外ではベトナムのホーチミンでも開院。年中無休で土・日・祝日も診療中。朝10時台から夜20時(鶴ヶ峰院、上永谷院は19時)まで受診可能。
理由01
2step麻酔法+睡眠無痛治療のご用意があります!
理由02
過去に歯医者で不快な思いをされた方でも安心いただけるよう
患者さんへは分かりやすく丁寧な治療の説明を実施します

難しい医療用語も可能な限り分かりやすくかみ砕き、患者さんに納得いただけるまで説明します。

当院では患者さんにとって本当に必要と判断した治療しかおこないません。

理由03
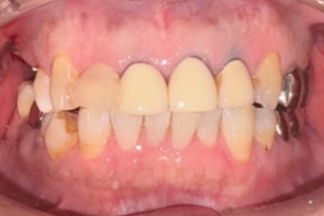
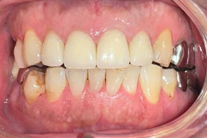
米国の技術×専属技工士×精密機器のフル活用で「短期治療」を実現!

米国の先端治療を安価で
当グループの専門治療
インプラント、マウスピース矯正、小児矯正の歯医者なら「ALBA歯科&矯正歯科」。東京・神奈川・海外を中心に26医院を展開する当グループの専門治療をご案内します。年間1,000症例以上の「世界レベル」オペを実施しているインプラント治療では最安で税込99,800円~の低価格を実現。目立たずメンテナンスも容易と好評の透明なマウスピース矯正は月3,300円からご提供が可能です。重度の歯周病でも徹底的な検査と滅菌で再発を防止し、包括治療で早期解決します。低価格・低リスクの「小児専門」矯正治療を実現、通常100万円ほどかかるワイヤー矯正と比べ、半額程度の費用で矯正治療がおこなえます。年中無休で土・日・祝日も診療中。朝10時台から夜20時(鶴ヶ峰院、上永谷院は19時)まで受診可能。
年間1,000症例以上の 「世界レベル」オペ実施
最安で税込99,800円~の低価格を実現


月3,300円から始める 目立たないカスタム矯正
生活面でも費用面でも患者に優しい矯正治療


最速10分で抜歯 即日、治療が可能です
土日祝も受診できるので、急な痛みでも大丈夫


美しいセラミック治療も 最安35,000円からご提供
前歯から奥歯まで全歯に対応しています



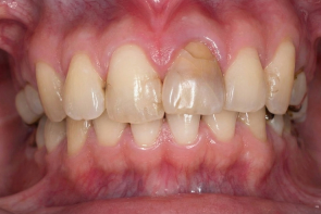
「もういいや」と諦めないでください。
当院では積極的に
セカンドオピニオンを実施しています。
他の歯医者で治療に失敗した方、
不快な思いをされた方、
ぜひ一度、当院へご相談ください。
自費診療の場合、クレジット、電子マネー、デンタルローンに対応。

デンタルローンは最大120回までの分割にも対応しています。
A.はい、可能です。
受診を予定される医院の状況にもよりますが、希望の時間帯が空いていれば当日のご予約でも受診いただくことは可能です。
A.はい、可能です。が、予約された方を優先に診療するのでお待ちいただく場合があるため、可能な限り事前にご予約ください。
A.はい、どのクリニックでも同じ治療を受けることができます。
A.症例によっても変わりますが、おおよそ30分前後となる場合が多いです。
A.はい。医院によっては個室がございますのでお気軽にお問い合わせください。
A.はい、治療費用がどのくらいになりそうか?その場で概算をお出しいたします。





〒100-0006 東京都千代田区有楽町2丁目7−1 有楽町マルイ5階
「有楽町」駅より徒歩1分
| 診療時間 | 月 | 火 | 水 | 木 | 金 | 土 | 日 | 祝 |
|---|---|---|---|---|---|---|---|---|
| 10:30~14:30 | ● | ● | ● | ● | ● | ● | ▲ | ● |
| 15:30~20:00 | ● | ● | ● | ● | ● | ● | ▲ | ◆ |
▲日曜は10:30~18:30(通し)
◆祝日は18:00まで
年末年始、有楽町マルイ休館日は休診
03-6810-0408

〒150-0041 東京都渋谷区神南1丁目21−3 渋谷モディ3F
「渋谷」駅より徒歩3分
| 診療時間 | 月 | 火 | 水 | 木 | 金 | 土 | 日 | 祝 |
|---|---|---|---|---|---|---|---|---|
| 10:30~14:30 | ● | ● | ● | ● | ● | ● | ▲ | ◆ |
| 15:30~20:00 | ● | ● | ● | ● | ● | ● | ▲ | ◆ |
▲日曜は10:30~18:30(通し)
◆祝日は18:00まで
年末年始・渋谷モディ休館日は休診
03-6455-1881

〒160-0022 東京都新宿区新宿3丁目30−13 新宿マルイ本館6F
「新宿三丁目」駅より徒歩1分
| 診療時間 | 月 | 火 | 水 | 木 | 金 | 土 | 日 | 祝 |
|---|---|---|---|---|---|---|---|---|
| 10:30~14:30 | ● | ● | ● | ● | ● | ● | ▲ | ● |
| 15:30~20:00 | ● | ● | ● | ● | ● | ● | ▲ | ◆ |
▲日曜は10:30~18:30(通し)
◆祝日は18:00まで
年末年始、マルイ休館日は休診
※10時30分にご予約の患者様は恐れ入りますが新宿マルイ本館のオープン時間が11時の為、到着前に医院まで直接お電話を下さい。1階エレベーター前までスタッフがお迎えにあがります。
03-6457-8864

〒194-0013 東京都町田市原町田4丁目1−17 ミーナ町田8階
「JR町田(ターミナル改札口)」駅より徒歩0分
| 診療時間 | 月 | 火 | 水 | 木 | 金 | 土 | 日 | 祝 |
|---|---|---|---|---|---|---|---|---|
| 10:00~19:00 | ● | ● | ● | ● | ● | ● | ● | ● |
年末年始、ミーナ町田休館日は休診
042-794-7335

〒171-0022 東京都豊島区南池袋1丁目19−6 オリックス池袋ビル1階
「池袋」駅より徒歩2分
| 診療時間 | 月 | 火 | 水 | 木 | 金 | 土 | 日 | 祝 |
|---|---|---|---|---|---|---|---|---|
| 10:00~19:00 | ● | ● | ● | ● | ● | ● | ● | ● |
年末年始は休診
03-5962-0048

〒192-0083 東京都八王子市旭町1−17 セレオ八王子南館1階104号
「八王子」駅より徒歩1分
| 診療時間 | 月 | 火 | 水 | 木 | 金 | 土 | 日 | 祝 |
|---|---|---|---|---|---|---|---|---|
| 10:00~19:00 | ● | ● | ● | ● | ● | ● | ● | ● |
年末年始は休診
042-649-4881

〒190-0012 東京都立川市曙町2丁目1−1 ルミネ立川9F
「立川」駅より徒歩1分
| 診療時間 | 月 | 火 | 水 | 木 | 金 | 土 | 日 | 祝 |
|---|---|---|---|---|---|---|---|---|
| 10:00~19:00 | ● | ● | ● | ● | ● | ● | ● | ● |
年末年始は休診
042-512-7611

〒112-0011 東京都文京区千石4丁目46-12
「千石」駅より徒歩3分
| 診療時間 | 月 | 火 | 水 | 木 | 金 | 土 | 日 | 祝 |
|---|---|---|---|---|---|---|---|---|
| 10:00~14:00 | ● | ● | ● | ● | ● | ● | ▲ | ● |
| 15:30~20:00 | ● | ● | ● | ● | ● | ● | ▲ | ◆ |
▲日曜は10:00~18:00(通し)
◆祝日は18:00まで
※土日祝はお時間が変動する可能性がございます。
※年末年始は休診
03-6902-9462

〒184-0002 東京都小金井市梶野町5丁目1−1 nonowa東小金井WEST1階114区画
「東小金井」駅より徒歩1分
| 診療時間 | 月 | 火 | 水 | 木 | 金 | 土 | 日 | 祝 |
|---|---|---|---|---|---|---|---|---|
| 10:00~14:00 | ● | ● | ● | ● | ● | ● | ▲ | ● |
| 15:30~20:00 | ● | ● | ● | ● | ● | ● | ▲ | ◆ |
▲日曜は10:00~18:00(通し)
◆祝日は18:00まで
※土日祝はお時間が変動する可能性がございます。
※年末年始、nonowa東小金井館休館日は休診
042-316-7887

〒210-0007 神奈川県川崎市川崎区駅前本町26−2 川崎アゼリア1055
「川崎」駅より徒歩2分
| 診療時間 | 月 | 火 | 水 | 木 | 金 | 土 | 日 | 祝 |
|---|---|---|---|---|---|---|---|---|
| 10:30~19:30 | ● | ● | ● | ● | ● | ● | ● | ● |
年末年始は休診
044-223-8810

〒210-0007 神奈川県川崎市川崎区駅前本町8 川崎ダイスビル2F
「川崎」駅より徒歩1分
| 診療時間 | 月 | 火 | 水 | 木 | 金 | 土 | 日 | 祝 |
|---|---|---|---|---|---|---|---|---|
| 10:00~19:00 | ● | ● | ● | ● | ● | ● | ● | ● |
年末年始、川崎ダイス休館日は休診
044-223-8249

〒211-0004 神奈川県川崎市中原区新丸子東3丁目1156番地 Classense武蔵小杉1階
「武蔵小杉」駅より徒歩4分
| 診療時間 | 月 | 火 | 水 | 木 | 金 | 土 | 日 | 祝 |
|---|---|---|---|---|---|---|---|---|
| 10:00~19:00 | ● | ● | ● | ● | ● | ● | ● | ● |
年末年始は休診
044-872-8811

〒211-0025 神奈川県川崎市中原区木月1丁目36−12 元住吉駅ビル1F
「元住吉」駅より徒歩0分
| 診療時間 | 月 | 火 | 水 | 木 | 金 | 土 | 日 | 祝 |
|---|---|---|---|---|---|---|---|---|
| 10:00~19:00 | ● | ● | ● | ● | ● | ● | ● | ● |
年末年始は休診
044-863-8811

〒213-0001 神奈川県川崎市高津区溝口1丁目4−1 マルイファミリー溝口9F
「武蔵溝ノ口」駅より徒歩3分
| 診療時間 | 月 | 火 | 水 | 木 | 金 | 土 | 日 | 祝 |
|---|---|---|---|---|---|---|---|---|
| 10:30~14:30 | ● | ● | ● | ● | ● | ● | ▲ | ● |
| 15:30~20:00 | ● | ● | ● | ● | ● | ● | ▲ | ◆ |
▲日曜は10:30~18:30(通し)
◆祝日は18:00まで
年末年始、マルイ溝口休館日は休診
044-322-8018

〒214-0014 神奈川県川崎市多摩区登戸2428 ゲートビルディング マルエツ3F
「登戸」駅より徒歩1分
| 診療時間 | 月 | 火 | 水 | 木 | 金 | 土 | 日 | 祝 |
|---|---|---|---|---|---|---|---|---|
| 10:00~19:00 | ● | ● | ● | ● | ● | ● | ● | ● |
年末年始は休診
044-543-8249

〒241-0022 神奈川県横浜市旭区鶴ケ峰1丁目13−1
「鶴ヶ峰」駅より徒歩1分
| 診療時間 | 月 | 火 | 水 | 木 | 金 | 土 | 日 | 祝 |
|---|---|---|---|---|---|---|---|---|
| 10:00~19:00 | ● | ● | ● | ● | ● | ● | ▲ | ▲ |
※▲日・祝は18時まで
045-383-0118

〒244-8528 神奈川県横浜市戸塚区品濃町535−1 イオンスタイル東戸塚1F
「東戸塚」駅より徒歩4分
| 診療時間 | 月 | 火 | 水 | 木 | 金 | 土 | 日 | 祝 |
|---|---|---|---|---|---|---|---|---|
| 10:00~19:00 | ● | ● | ● | ● | ● | ● | ● | ● |
年末年始、イオン東戸塚休館日は休診
045-390-0648

〒233-0013 神奈川県横浜市港南区丸山台1丁目12 イトーヨーカドー上永谷店3F
「上永谷」駅より徒歩3分
| 診療時間 | 月 | 火 | 水 | 木 | 金 | 土 | 日 | 祝 |
|---|---|---|---|---|---|---|---|---|
| 10:00~19:00 | ● | ● | ● | ● | ● | ● | ▲ | ▲ |
▲日・祝は18:00まで
年末年始、イトーヨーカドー上永谷休館日は休診
045-844-8418

〒247-0006 神奈川県横浜市栄区笠間2丁目2−1 グランシップ大船2F
「大船」駅より徒歩1分
| 診療時間 | 月 | 火 | 水 | 木 | 金 | 土 | 日 | 祝 |
|---|---|---|---|---|---|---|---|---|
| 10:00~19:00 | ● | ● | ● | ● | ● | ● | ● | ● |
年末年始、グランシップ大船休館日は休診
045-392-4018

〒243-0432 神奈川県海老名市中央1丁目6−1 マルイファミリー海老名301区画
「海老名」駅より徒歩2分
| 診療時間 | 月 | 火 | 水 | 木 | 金 | 土 | 日 | 祝 |
|---|---|---|---|---|---|---|---|---|
| 10:30~19:30 | ● | ● | ● | ● | ● | ● | ● | ● |
年末年始、海老名マルイ休館日は休診
046-244-4117

〒250-0872 神奈川県小田原市中里208 ダイナシティウエスト内4F
小田原ダイナシティ4F
| 診療時間 | 月 | 火 | 水 | 木 | 金 | 土 | 日 | 祝 |
|---|---|---|---|---|---|---|---|---|
| 10:00~19:00 | ● | ● | ● | ● | ● | ● | ● | ● |
年末年始、ダイナシティ休館日は休診
0465-49-0241

〒242-0007 神奈川県大和市中央林間4丁目4番3号 小田急マルシェ中央林間2階
「中央林間」駅より徒歩1分
| 診療時間 | 月 | 火 | 水 | 木 | 金 | 土 | 日 | 祝 |
|---|---|---|---|---|---|---|---|---|
| 10:00~14:00 | ● | ● | ● | ● | ● | ● | ▲ | ● |
| 15:30~20:00 | ● | ● | ● | ● | ● | ● | ▲ | ◆ |
▲日曜は10:00~18:00(通し)
◆祝日は18:00まで
※土日祝はお時間が変動する可能性がございます。
※年末年始、小田急マルシェ中央林間休館日は休診
・日本語│英語│中国語 対応可能
046-244-0885

〒220-0012 神奈川県横浜市西区みなとみらい3-5-1 マークイズみなとみらいB4F
「みなとみらい」駅より徒歩0分
| 診療時間 | 月 | 火 | 水 | 木 | 金 | 土 | 日 | 祝 |
|---|---|---|---|---|---|---|---|---|
| 10:00~14:00 | ● | ● | ● | ● | ● | ● | ▲ | ● |
| 15:30~20:00 | ● | ● | ● | ● | ● | ● | ▲ | ◆ |
▲日曜は10:00~18:00(通し)
◆祝日は18:00まで
※土日祝はお時間が変動する可能性がございます。
※年末年始、MARK IS みなとみらい休館日は休診
045-226-4618

〒252-0143 神奈川県相模原市緑区橋本3丁目28ー1 ミウィ橋本1階101区画
「橋本」駅より徒歩1分
| 診療時間 | 月 | 火 | 水 | 木 | 金 | 土 | 日 | 祝 |
|---|---|---|---|---|---|---|---|---|
| 10:00~14:00 | ● | ● | ● | ● | ● | ● | ▲ | ● |
| 15:30~20:00 | ● | ● | ● | ● | ● | ● | ▲ | ◆ |
▲日曜は10:00~18:00(通し)
◆祝日は18:00まで
※土日祝はお時間が変動する可能性がございます。
※年末年始、ミウィ橋本休館日は休診
042-610-3135
東京・神奈川でインプラント、マウスピース矯正、小児矯正するなら世界で26医院を展開する歯医者グループ「ALBA歯科&矯正歯科」のホームページをご覧いただき誠にありがとうございました。当院では歯科業界の中でも「最安」水準の低価格化を実現、全医院で虫歯治療から歯周病、根幹治療、インプラント、入れ歯、審美治療、小児歯科、親知らずの抜歯、マウスピース矯正、おとなの矯正、こどもの矯正、口腔外科、予防歯科までワンストップ治療をおこなっています。また痛みを抑えた治療、神経を守る治療、抜歯を回避する治療のほか口臭治療、スポーツ歯科など患者さんの要望に合わせた特別な治療も実施。金属アレルギーの方でも安心してご来院いただけます。当グループ国内の全医院で朝10時台から夜20時(鶴ヶ峰院、上永谷院は19時)まで受診可能、年中無休で土・日・祝日も診療中です。
© ALBA歯科&矯正歯科
